Tieto ja tutkimus apuna hyvinvoinnin tukemisessa
Havannankoiraa pidetään yleisesti terveenä ja pitkäikäisenä rotuna, mikä on yksi sen suurimmista vahvuuksista valloittavan luonteen lisäksi. Kuitenkin myös perusterveissä roduissa voi esiintyä perinnöllisiä sairauksia tai rakenteellisia haasteita, jotka eivät aina näy päällepäin. Nykyiset tutkimusmenetelmät mahdollistavat luuston ja nivelten, kuten selän, polvien ja lonkkien, terveydentilan kartoittamisen tarkemmin kuin koskaan ennen. Samalla myös immuunivälitteiset sairaudet, kuten autoimmuunisairaudet ja allergiat, sekä suolisto-ongelmat ovat nousseet esiin yksilö- ja populaatiotasolla.
Rakenteella on suuri merkitys havannankoiran hyvinvointiin – erityisesti selän, lonkkien ja raajojen osalta. Oikein rakentunut koira liikkuu vaivattomasti ja kuormittaa kehoaan tasapainoisesti. Liian pitkä runko, käyrät eturaajat, jyrkät kulmaukset tai matalat raajat voivat altistaa selkä- ja nivelongelmille, joita ei välttämättä huomata ennen kuin ne aiheuttavat kipua tai liikerajoitteita. Ongelmia kuitenkin nähdään hyvin rajatusti vain ulkonäköä arvioimalla ja koirat ovat taitavia peittämään kipuaan. Siksi olisi tärkeää että ainakin jalostukseen käytettävät koirat tutkittaisiin luustokuvin ja erilaisin testein.
Havannankoiran jalostuksessa on tällä hetkellä pakollista tutkia polvet ja silmät. Suositeltuja lisätutkimuksia ovat mm. luuston viralliset kuvaukset, sappihappotestaus ja geenitestit.
Jalostustyötä ohjaavat useat asiakirjat, kuten:
- PEVISA-ohjelma havannankoiralle (Kennelliitto)
- Jalostuksen tavoiteohjelma eli JTO (Jalostustietojärjestelmässä)
- Havannankoirien jalostusohje (Havannalaiset ry)
On erittäin tärkeää, että tutkimustulokset tehdään virallisina Kennelliiton kautta – vain silloin ne näkyvät jalostustietojärjestelmässä ja ovat kaikkien nähtävillä. Näin niistä on hyötyä paitsi kasvattajille, myös pennunostajille, jotka haluavat varmistaa vanhempien terveyden taustat. Myös oireettomalla koiralla voi olla piileviä riskitekijöitä, jotka voivat korostua, jos jalostuskumppanilla on samankaltaista taustaa.
Lisätietoa omakoira lähetteen tekemisestä
Tiedon jakaminen edistää avoimuutta ja antaa kaikille kasvattajille mahdollisuuden kiinnittää ongelmiin huomiota. Siksi myös havaituista terveysongelmista kannattaa ilmoittaa Havannalaiset ry:n terveystietolistalle, jolloin tieto on kaikkien saatavilla ja se kulkee eteenpäin.
Eläinlääkärien tutkimissa havannankoirissa silmäsairaudet ovat olleet pääosin harvinaisia, ja rotu vaikuttaa yleisesti ottaen terveeltä silmien osalta. Tässä yhtenä vaikuttavana tekijänä on ollut Havannalaisten siirtyminen aikoinaan Pevisaan, jolloin silmätutkimukset tulivat jalostuskoirille pakollisiksi, sekä Havannalaiset ry:n jalostusohje, mistä löytyy ohjeistus myös silmäsairauksiin liittyen.
Perinnöllinen harmaakaihi (HC, hereditary cataract) on kuitenkin aiheuttanut eniten huolta kasvattajien keskuudessa seulottavien silmäsairauksien joukossa. HC on todettu tai epäilty periytyväksi yli sadalla koirarodulla, ja useimmissa tapauksissa sen periytymistapa on resessiivinen. Havannankoirarodussa tehdyt sukupuuanalyysit viittaavat siihen, että sairaudelle altistava alleeli täytyisi saada molemmilta vanhemmilta.
HC puhkeaa yleensä nuorena tai täysi-ikäisenä ja johtaa toisen tai molempien linssien samentumiseen. Sairauden torjumista jalostuksen keinoin vaikeuttaa se, että puhkeamisikä vaihtelee paljon: koira voi ehtinyt saada jälkeläisiä ennen kuin sairaus näkyy. Vakavimmillaan HC voi johtaa näkökyvyn menetykseen. Perinnöllisessä harmaakaihissa hoitona voi toimia silmäleikkaus, jossa samentunut linssi tai samentuma poistetaan.
HC ei ole sama asia kuin iästä johtuva linssin luonnollinen tiivistyminen tai vanhemman koiran ”kaihimuutos”, joka ilmenee yleensä vasta noin 8–10 vuoden iässä.
Seuraavat perinnölliset silmäsairaudet ovat myös Suomessa seulottavia perinnöllisiä silmäsairauksia ovat:
- PRA (Progressive Retinal Atrophy) – etenevä verkkokalvon surkastuma, jossa näkö heikkenee asteittain, aluksi näkyen hämärässä. Ensioireet voivat ilmaantua nuorena, ja sairaus voi johtaa täydelliseen sokeuteen rodusta ja yksilöstä riippuen yleensä 1–8 vuoden sisällä. PRA-sairaiden koirien jalostuskäyttö ei suositella.
- RD (Retinal Dysplasia) – eli verkkokalvon vajaakehitys on synnynnäinen silmän kehityshäiriö, joka on todettu tai epäilty perinnölliseksi usealla rodulla. RD-muutokset jaetaan kolmeen luokkaan (mRD, gRD, tRD), mutta on epävarmaa, ovatko ne geneettisesti samoja sairauksia. RD:n lievin muoto on mRD, multifokaali retinan dysplasia, jossa silmän verkkokalvolla on yksittäisiä tai useampia poimuja. Näistä ei ole haittaa koiran näkökyvylle, eikä tilanne etene. gRD:ssä eli geograafisessa retinan dysplasiassa suurempi alue verkkokalvosta on epänormaali, surkastuu ajan myötä ja haittaa näkökykyä. tRD:ssä eli totaalisessa retinan dysplasiassa verkkokalvon näkösolukerros on irronnut kokonaan ja silmä on sokea usein jo syntymästä asti. tRD-tapauksia ei ole todettu Suomessa. mRD-tapauksia ei tarvitse sulkea pois jalostuksesta, mutta gRD ja tRD -koiria ei suositella käytettävän jalostuksessa.
- Distichiasis – ylimääräiset ripsikarvat, jotka kasvavat sarveiskalvon ylä- tai alapuolella, voivat pahimmillaan ärsyttää ja aiheuttaa silmävuotoa tai haavaumia. Distichiasista pidetään periytyvänä, mutta periytymismallista ei ole täyttä varmuutta. Suomessa on todettu useita tapauksia havannoilla. Jalostuksessa kahta distichiasis-koiria ei suositella yhdistettäväksi.
- PHTVL/PHPV (Persistent Hyperplastic Tunica Vasculosa Lentis / Primary Vitreous) – synnynnäinen kehityshäiriö, jossa silmän linssin ja silmän pohjan välinen verisuoniverkosto ei surkastu normaalisti syntymän jälkeen. Ilmentymät vaihtelevat kauneuspilkusta vakaviin muutoksiin, joihin voi liittyä kaihia tai muita silmäkomplikaatioita
- Cherry eye eli kirsikkasilmä: Kolmannen silmäluomen eli vilkkuluomen tyvessä sijaitsevan kyynelrauhasen ”esiin pullahdus” on usein nuorilla koirilla (3 kk-1v) esiintyvä perinnölliseksi oletettu silmäsairaus. Rauhasen tyven sidekudoksen heikkous mahdollistanee rauhasen esiintulon. Esille tultuaan rauhanen usein ärtyy ja muuttuu entistä turpeammaksi ja punaisemmaksi, muistuttaen tällöin kirsikkaa. Hoitona on esiin pullahtaneen rauhasen mikrokirurginen ”paikalleen taskutus”. Tällöin sen toiminta (kyynelen eritys) jatkuu normaalisti. ”Pullahtanutta” rauhasta ei tule poistaa, sillä se altistaa potilaan myöhemmin kuivasilmäisyydelle. Joissain tapauksissa eläinlääkäri voi koittaa, ennen “paikalleen taskutusta”, kyynelrauhasen painamalla takaisin paikalleen ohjausta ja silmätippa hoitoa.Cherry eye -diagnoosin saanutta koiraa voi perustellusta syystä käyttää jalostukseen terveen parituskumppanin kanssa.
- PPM (Persistent Pupillary Membrane)
- Lasiaisen rappeuma
- Kyynelkanavapuutokset
- Luomikietymät – entropion (luomen kääntyminen sisäänpäin) ja ektropion (luomen kääntyminen ulospäin)
Lähteet:
https://www.kennelliitto.fi/perinnolliset-sairaudet-ja-koiran-hyvinvointi/yleisimmat-silmasairaudet
https://havannalaiset.com/wp-content/uploads/2023/02/JTO-2024_2028.pdf
https://veteva.vet/2021/01/22/cherry-ey … ikkasilma/
Patellaluksaatio eli polvilumpion sijoiltaanmeno
Patellaluksaatiossa polvilumpion on siirtynyt pois normaali paikastaan reisiluun pään telaurasta. Se on synnynnäinen rakennevika, joka liittyy takajalkojen anatomiaan — erityisesti suoraan polvi- ja kinnerkulmaan sekä matalaan telauraan. Patellaluksaatiota esiintyy runsaasti kääpiöroduilla, kuten havannankoiralla. Sairauden periytymistapaa ei tunneta tarkasti, mutta tietyissä suvuissa alttius näyttää olevan suurempi kuin toisissa. Pienillä roduilla patella siirtyy useimmiten sisäsivulle (mediaalinen luksaatiotyyppi).
Miten patellaluksaatio todetaan?
Patellaluksaatio voidaan todeta eläinlääkärin tekemässä polvitutkimuksessa. Tutkimus tehdään koiran seistessä, ilman rauhoitusta. Eläinlääkäri tutkii käsin, miten helposti polvilumpio siirtyy pois paikaltaan. Lausunto annetaan asteikolla 0–4, jossa 0 tarkoittaa normaalia polvea ja 4 vakavinta muotoa, jossa lumpio on pysyvästi pois paikoiltaan.
Virallinen polvitutkimus voidaan tehdä havannankoiralle 12 kuukauden iästä alkaen, mutta lopullinen tulos tulee vasta 3 vuoden iässä. Tutkimuksen voi tehdä vain siihen koulutettu eläinlääkäri. Tarkista eläinlääkärit:
🔗 Kennelliiton hyväksymät polvilausuntoeläinlääkärit
Virallista polvitutkimusta varten koiran omistaja tekee lähetteen Kennelliiton Omakoira-palveluun ennen tutkimusta, jolloin tulokset tallennetaan Jalostustietojärjestelmään.
Oireet
Patellaluksaatio voi olla täysin oireeton (etenkin asteessa 1), mutta vakavammissa tapauksissa ilmenee erilaisia liikkumisongelmia. Tyypillisiä oireita ovat:
- “Pupuaskel” – koira nostaa hetkellisesti jalkaa ravin aikana
- Ontuminen tai jalan keventäminen rasituksessa
- Kipuilu tai jäykkyys liikkuessa
- Nivelrikon kehittyessä krooninen kipu ja liikunnan välttely
Asteessa 4 polvilumpio on jatkuvasti pois paikaltaan, eikä pysy telaurassa edes käsin asetettuna.
Hoito ja ennaltaehkäisy
Pennun polvinivelen kehitys liittyy luuston ja rustojen nopeaan kasvuun ja luutumiseen 3–6 kuukauden iässä, ja se jatkuu murrosikään ja aikuisuuteen saakka, kunnes luut sulkeutuvat noin vuoden ikäisyyden ympärillä. Tässä kehitysvaiheessa on tärkeää välttää liiallista rasitusta ja tarjota pennulle riittävää tukea, sillä epänormaali kehitys voi johtaa esimerkiksi polvilumpion sijoiltaanmenoon (patellaluksaatio), joka on yleinen perinnöllinen sairaus. Tässä ikävaiheessa luiden kasvulinjat ovat auki ja nivelten rustokudokset erittäin pehmeät. Pidä huolta, ettei pentu liiku liian rajusti tai liian paljon eikä loukkaa itseään. Vältä liian äkillisiä pysähdyksiä ja käännöksiä, jotka voivat aiheuttaa rasitusta pennun nivelille. Myöskään liian pitkäkestoiset kävelyt tai juoksulenkit eivät sovi pennuille. Ylipaino kuormittaa polviniveltä ja altistaa sen vammoille. Liian suuret energiansaanti ja nopea kasvu voivat myös häiritä nivelten kehitystä. Muista pitää pentu sopivan hoikkana!
Hoitomuoto riippuu luksaatioasteesta. Lievimmissä tapauksissa fysioterapia ja seuranta riittää. Vaativimmissa tapauksissa eläinlääkäri arvioi leikkauksen tarpeen. Leikkauksen jälkeen onnistunut fysioterapia on erittäin tärkeä osa kuntoutumista. Oireiden ehkäisyssä korostuu hyvä lihaskunto ja painonhallinta.
Patellaluksaation torjuminen jalostuksessa on tärkeää, koska se on yleinen ja perinnöllinen vaiva. Havannankoiralla patellatutkimus on PEVISA-ohjelmassa pakollinen. Rekisteröinnin raja-arvo on polvilumpioluksaation aste 1 ja jos koiran tulos on aste 1, on se paritettava tuloksen 0 saaneen koiran kanssa.
Jalostusvalinnoissa tulisi huomioida:
- Yksilön polvitulos
- Sukulaisten ja jälkeläisten tulokset
- Takaraajojen rakenne: riittävät kulmaukset, suora reisiluu ja syvä telaura ovat eduksi
- Pevisassa Havannankoiran pennun rekisteröinnin ehtona on joko molempien vanhempien polvitulos 0 tai jos toisella vanhemmalla on polvitulos 1, toisen vanhemman polvitulos pitää olla 0.
Vain viralliset tulokset näkyvät jalostustietojärjestelmässä ja ovat hyödynnettävissä jalostuksessa. Yksittäisten oireiden tai diagnoosien jakaminen esimerkiksi Havannalaisten terveystieto listalle auttaa kartuttamaan rodun terveys tietopohjaa ja ohjaa vastuullista kasvatustyötä.
www.kennelliitto.fi/yhteystiedot/terveystutkimuselainlaakarit/polvielainlaakarit
https://www.suomenranskanbulldogit.fi/terveys-ja-sairaudet/
Kyynärnivelen Inkongruenssi (INC)
Mikä on kyynärnivelen inkongruenssi?
Havannankoira kuuluu kondrodysplastisiin (CDPA) rotuihin, joille on tyypillistä lyhytraajaisuus ja hieman pidempi runko. Havannankoiran kyynärluun kasvulinja voi joskus sulkeutua liian aikaisin. Värttinäluun jatkaessa yhä kasvuaan, luiden mittasuhteet vääristyvät, tämä voi johtaa pahimmillaan kyynärnivelen inkongruenssiin (INC). Nivelpintaan muodostuu tällöin porrastumia tai värttinäluusta tulee liian käyrä, joskus jopa niin, että värttinäluun yläpää voi mennä osittain sijoiltaan. Kasvuhäiriön merkkejä voivat olla ulospäin kiertyneet etujalat ja ranteiden taipuminen sisäänpäin. Taipumus kasvulinjan liian aikaiseen sulkeutumiseen on perinnöllinen. Koiran kyynärvarsi muodostuu kyynär- ja värttinäluusta, nämä yhdessä olkaluun kanssa muodostavat kyynärnivelen. Värttinä- ja kyynärluu niveltyy sitten ranteen pikkuluiden kanssa.
Miten Kyynärnivelen epäyhdenmukaisuus todetaan?
”Kyynärnivelen epäyhdenmukaisuus näkyy parhaiten röntgenkuvassa, jossa niveltä ei ole taivutettu (avautumiskulma
90 astetta tai enemmän). Röntgenkuvassa täytyy näkyä kyynärnivelen lisäksi koko kyynärvarsi.” (Anu Lappalainen/ Kennelliitto)
Kuvantamisesta käytetään yleisesti lyhennettä INC.
Havannankoira voi saada virallisen INC-lausunnon täytettyään 12 kuukautta. Tutkimus tehdään rauhoituksessa röntgenkuvauksella. Eläinlääkäriasema lähettää kuvat Kennelliittoon lausuttavaksi. Koiran omistajan on tehtävä lähete Kennelliiton Omakoira-palvelussa ennen tutkimusta, että tulos saadaan virallisesti lausuttuna ja tulos tallennetaan jalostustietojärjestelmään.
Lausunnossa INC muutokset luokitellaan seuraasti:
- INC0 = terve
- INC1 = lievä muutos (kondrodysplastisilla roduilla usein katsotaan normaaliksi)
- INC2 = kohtalainen muutos
- INC3 = vakava muutos
Röntgenkuvauksen lisäksi oireilevalle koirille voidaan tehdä lisäksi tietokonetomografiatutkimus tai nivelen tähystys. Näiden avulla saadaan vielä tarkempaa kuvaa tilanteesta.
Oireet
Kasvuhäiriö voi aiheuttaa epänormaalia liikerataa kyynärnivelessä ja altistaa nivelrikolle. Vakavat muutokset näkyvät usein jo nuorella iällä kipuiluna, ontumisena ja ranteiden tai tassujen virheasentoina, kuten tassujen kiertymisenä ulospäin ja ranteiden taipumisena sisäänpäin. Osa koirista voi olla pitkään oireettomia, jolloin muutos havaitaan vasta röntgen- tai tietokonetomografiatutkimuksessa tai nivelen tähystyksessä.
Hoito ja ennaltaehkäisy
Vakavat muutokset vaativat yleensä leikkaushoitoa jo varhaisessa iässä. Lievissä tapauksissa hoito perustuu kipua lievittävään lääkitykseen, fysioterapiaan ja nivelterveyttä tukeviin lisäravinteisiin.
Hoidossa ja ennaltaehkäisyssä on myös liikunnalla ja ravinnolla todettu olevan merkitys, mikä liittyy yleisesti kaikkiin niveliin. Kaikissa tapauksissa tärkeintä on huolehtia koiran hyvästä lihaskunnosta ja välttää ylipainoa, joka kuormittaa niveliä lisää.
On hyvä muistaa, että koiranpennun voimakkain kasvuvaihe sijoittuu 3–9 kuukauden ikään, mutta pitkien putkiluiden kasvulinjojen sulkeutuminen voi kestää jopa vuoden ikään asti. Kasvukauden aikana on vältettävä liikaa rasitusta, liukkaita ja joustamattomia alustoja sekä jatkuvaa hyppimistä ja rappusissa kulkemista, jotka voivat ylikuormittaa kehittyviä nivelrakenteita ja aiheuttaa vammoja.
Liikunnan ja levon tasapaino on tärkeää koiran koko elämän ajan, mutta erityisesti juuri kasvuvaiheessa, sillä levossa tapahtuu kehitystä ja väsyneenä koiran tapaturmariski kasvaa. Koordinaatio kehittyy, kun koira pääsee liikkumaan ja leikkimään erilaisissa ja monipuolisissa maastoissa. Koordinaation kehittymisen myötä kasvava koira oppii hallitsemaan kokoaan ja nopeuttaan. Tämä auttaa ehkäisemään nivelvammoja ja muita vaivoja, jotka voivat vaikuttaa koiran elämänlaatuun pitkällä aikavälillä.
Koska kyynärnivelen ja oleellisesti liittyvien luiden kasvuhäiriöön liittyy selvästi perinnöllinen tausta, sen huomioiminen jalostuksessa on todella tärkeää. Vanhempien tutkimustulokset antavat tietoa periytymisriskistä. Ennaltaehkäisyn kannalta jalostuksessa tulisi pyrkiä suosimaan yksilöitä, joilla ei ole lausuttu vakavia INC-muutoksia ja oireilevaa koiraa ei käytetä jalostukseen.
Kennelliiton tämänhetkinen suositus on; ”kondrodystrofisilla roduilla INC1 on vielä ”normaali”, mutta INC2- ja INC3-kyynärnivelet ovat selvästi epänormaaleja. Jalostuskoirien valinnassa olisi hyvä suosia INC0- ja INC1-nivelisiä koiria. INC2- tai INC3-nivelisiä koiria käytettäessä ne pitäisi yhdistää INC0:n kanssa (tai INC1:n, jos rodussa ei ole riittävästi INC0-nivelisiä koiria). Rodun tilanne saadaan selville ainoastaan kuvaamalla riittävä määrä koiria, minkä jälkeen voidaan tehdä tarkempia rotukohtaisia jalostussuosituksia.” (Anu Lappalainen/Kennelliitto)
Geenien tutkiminen avaa koko ajan lisää tietoa periytyvyydestä ja eri geenien vaikutuksesta asioihin.
”Raajoja lyhentäviä FGF4-retrogeenejä on tällä hetkellä tunnistettu kaksi:
- Kromosomissa 18 sijaitseva retrogeeni lyhentää raajoja voimakkaasti. Koirilla, joilla on kaksi kopiota retrogeenistä, on lyhyemmät raajat kuin koirilla, joilla on vain yksi kopio. Retrogeeni on siis epätäydellisesti dominantti. Tämän retrogeenin aiheuttamaa lyhytraajaisuuttakutsutaan myös kondrodysplasiaksi (CDPA).
- Kromosomissa 12 sijaitseva retrogeeni lyhentää raajoja vähemmän kuin kromosomin 18 retrogeeni, mutta aiheuttaa selkärangan välilevyjen ennenaikaisen rappeutumisen ja on siten riskigeeni välilevysairaudelle. Retrogeenin vaikutus välilevysairauden riskiin on dominoiva ja raajojen pituuteen epätäydellisesti dominoiva. Kaksi kopiota tästäkin retrogeenistä siis lyhentää raajoja enemmän kuin yksi kopio. Koiria, joilla on yksi tai kaksi kopiota tästä retrogeenistä, nimitetään kondrodystrofisiksi (CDDY).
Lyhytraajaisia koiria on jo vuosikymmeniä nimitetty kondrodystrofisiksi, joten vuonna 2017 tehdyn CDDY-löydön myötä syntynyt uusi jaottelu saattaa aiheuttaa sekaannuksia. Nykyisin kondrodystrofia-nimitys liitetään yleensä vain koiriin, joilla on taipumus välilevyjen varhaiseen rappeutumiseen CDDY:n myötä.” (katariinamaki.fi/l/retrogeenit-yhdesta-lyhytraajaisuus-toisesta-ennenaikainen-valilevyrappeuma)
Havannankoirilta löytyy perimästä näitä kumpaakin geeniä, siitä syystä myös geenitestin teettäminen ja sen huomioiminen jalostusvalinnoissa on tärkeä asia, jota voimme hyödyntää yhtenä osana jalostusvalitoja.
CDPA-geenitestin osalta valtaosa havannankoiria on tällä hetkellä tutkituista selvästi CDPA/CDPA, mutta rodusta löytyy myös niitä, jotka kantavat CDPA/N eli rodussamme puhutaan ns, ”villigeenistä” (N), jonka on yleisesti roduissa todettu liittyvän yhtenä geeninä suorarajaisempaan luustoon.
CDDY-geenin osalta rodussa löytyy kaikkia variaatioita eli N/N, CDDY/N ja CDDY/CDDY. Tästäkin geenistä tulee huomioida, kuten yllä on mainittu; ”Kaksi kopiota tästäkin retrogeenistä siis lyhentää raajoja enemmän kuin yksi kopio”. Sen lisäksi, tällä geenillä on yhteys selkäongelmiin, mistä toisaalla lisää.
Lisäksi Havannalaiset ry on kouluttanut mittaajia tekemään gonioskopiamittauksia, joiden avulla voidaan selvittää etujalkojen käyryysastetta ja kerätä arvokasta tietoa rodun tilanteesta.
Lähteet:
https://havannalaiset.com/pentueen-suunnittelu/geenitutkimus/
https://evidensia.fi/hoitovinkit/koiranpennun-liikunta-ja-lepo/
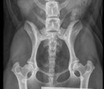
Lonkkanivelen kasvuhäiriö (lonkkaniveldysplasia, HD)
Mikä on lonkkaniveldysplasia?
Lonkkaniveldysplasialla (HD, hip dysplasia) tarkoitetaan lonkkanivelen kehityshäiriötä, jossa lonkan rakenne ei kehity normaaliksi. Tämä voi johtaa lonkan löysyyteen, sijoiltaan menoon tai kivuliaan nivelrikon kehittymiseen. Lonkkaniveldysplasia on monitekijäinen sairaus: siihen vaikuttavat sekä perinnölliset tekijät (useat eri geenit, ns. kvantitatiivinen periytyminen) että ympäristötekijät, kuten koiran kasvuolosuhteet, ruokinta ja liikunta.
Miten lonkkaniveldysplasia todetaan?
Virallinen lonkkakuvaus voidaan tehdä koiralle 12 kuukauden iästä lähtien. Tutkimus tehdään rauhoitettuna, sillä lonkat
on vedettävä täysin suoriksi, mikä vaatii lihasten rentouttamista. Kuvat lähetetään eläinlääkäriasemalta Suomen Kennelliittoon, joka antaa virallisen lausunnon asteikolla A–E:
- A = terve
- B = lähes normaali
- C = lievä dysplasia
- D = keskivaikea dysplasia
- E = vaikea dysplasia
E-tuloksen saanutta koiraa ei saa käyttää jalostukseen missään rodussa. Koiran omistajan on tehtävä lähete Kennelliiton Omakoira-palvelussa ennen tutkimusta, että tulos saadaan virallisesti lausuttuna ja tulos tallennetaan jalostustietojärjestelmään
Havannankoirien lonkkatilanteeseen voi tutustua Kennelliiton jalostustietojärjestelmän terveystilastoista.
Oireet
Lonkkaniveldysplasian oireet voivat vaihdella lievistä liikkumisvaikeuksista voimakkaaseen kipuiluun. Tyypillisiä merkkejä ovat:
- haluttomuus hypätä tai liikkua pitkiä matkoja
- jäykkyys erityisesti levon jälkeen
- ontuminen tai epäpuhdas liikkuminen
- kipukäyttäytyminen, joissain tapauksissa jopa aggressiivisuus
Havannankoirilla oireilu on usein vähäisempää kuin suurilla ja raskailla roduilla, sillä suurin osa painosta jakautuu etuosalle ja rodun kevyt rakenne vähentää nivelten kuormitusta. Silti yksittäisissä tapauksissa on esiintynyt tilanteita, joissa koira on tarvinnut jatkuvaa kipulääkitystä ja fysioterapiaa tai leikkaushoitoa.
Hoito ja ennaltaehkäisy
HD johtaa lähes aina nivelrikon kehittymiseen lonkkiin. Ennaltaehkäisyssä tärkeintä on välttää ylipainoa ja huolehtia koiran hyvästä lihaskunnosta, sillä nämä tukevat niveliä ja vähentävät oireilua. Oireilevan koiran hoitoon kuuluvat kipulääkitys, fysioterapia ja nivelterveyttä tukevat ravintolisät. Vaikeissa tapauksissa voidaan harkita myös kirurgisia toimenpiteitä.
Koska lonkkaniveldysplasia on merkittävästi periytyvä sairaus, sen huomioiminen jalostuksessa on välttämätöntä. Jalostukseen tulisi käyttää ensisijaisesti koiria, joilla on terveet tai lähes normaalit lonkat (A–B). C-tuloksen saanutta koiraa voidaan harkiten käyttää ja tämä onkin yleisin tulos havannankoirilla. E-tuloksen saaneita koiria ei tule käyttää jalostukseen.
Rodun pitkän aikavälin terveyden turvaamiseksi on tärkeää, että kasvattajat tarkistavat jalostusyksilöiden lonkkatulokset jotta vältytään yhdistämästä kaksi huonon tuloksen saanutta koiraa.
Lähteet:
https://www.suomenranskanbulldogit.fi/terveys-ja-sairaudet/
Havannankoiran selkä – rakenne ja terveys huomion keskiössä
Havannankoiralla voi esiintyä erilaisia selän terveyteen vaikuttavia muutoksia. Keskeisimmät rodussa todetut selkäsairaudet ovat kalkkeutuneet välilevyt (IDD), spondyloosi (SP), epämuodostuneet nikamat (VA) ja välimuotoinen lanneristinikama (LTV). Osa muutoksista on perinnöllisiä, osa voi kehittyä ympäristötekijöiden, kuten liiallisen kuormituksen seurauksena. Muutokset voivat olla oireettomia tai aiheuttaa selkäkipua, liikkumisvaikeuksia ja vakavimmillaan halvausoireita.
Havannankoira on rakenteeltaan lyhytraajainen ja korkeuttaan pidempi rotu, mikä tekee sen selästä erityisen kuormittuvan ja rakenteellisesti herkemmän muutoksille. Hyvä selän rakenne, sopiva liikunta ja lihaskunto ovat tärkeitä selän hyvinvoinnin kannalta, mutta pelkällä ulkoisella rakenteella ei voida arvioida selkärangan sisäistä terveydentilaa. Koirat osaavat peittää kipujaan ja selkäsairaudet voivat olla myös oireettomia.
Vain virallisesti otetut ja Kennelliiton jalostustietojärjestelmään tallennetut tulokset ovat julkisia ja hyödynnettävissä jalostuksessa. Tämä avoimuus palvelee koko rotua ja antaa kasvattajien ja koiran omistajien lisäksi tietoa myös pennunostajalle. On suositeltavaa valita pentu yhdistelmästä, jossa edes toiselta, mutta mieluiten molemmilta vanhemmilta löytyy viralliset selkälausunnot, kuten myös muiden jalostuksen kannalta tärkeiden tutkimusten osalta (lonkat, kyynärät, geenitestit).
Virallisia selkäkuvauksia suositellaan tehtäväksi 2–4 vuoden iässä, koska selkä on koiran viimeiseksi luutuva osa ja esimerkiksi välilevyjen kalkkeumat näkyvät kuvissa 2-4 vuoden iässä. Selkäkuvat otetaan eläinlääkärissä rauhoituksessa, sillä koiran on pysyttävä tarkassa asennossa kuvauksen ajan. Muista tehdä virallinen lähete Omakoira-palvelussa ennen kuvausta, jotta lausunto kirjautuu järjestelmään.
Ja muistathan: jos epäilet, että koirallasi on kipuja selässä, hakeudu aina eläinlääkärin arvioon. Oikea-aikainen tutkimus ja hoito ovat avain koiran hyvinvointiin.

Kalkkeutuneet välilevyt (IDD)
Havannankoira kuuluu, kuten moni muukin lyhytraajainen rotu, kondrodystrofisiin (CDDY) rotuihin. Näille roduille on tyypillistä selkänikamien välilevyjen varhainen rappeutuminen, mikä altistaa välilevytyrälle, niin sanotulle ”mäyräkoirahalvaukselle”. Välilevyjen rappeutuminen ilmenee usein röntgenkuvissa nähtävinä kalkkeumamuutoksina. Välilevyt toimivat normaalisti eräänlaisina ”ilmatyynyinä” nikamien välissä, mutta kalkkeutumisen seurauksena niiden joustavuus heikkenee ja ne haurastuvat, mikä kasvattaa huomattavasti tyräriskiä.
Miten koiran tilanne voidaan todeta?
24 kuukautta täyttänyt havannankoira voi saada virallisen lausunnon IDD-asteesta (intervertebral disc disease). Lausunto annetaan röntgenkuvan perusteella. Asteikko merkitään asteikolla 0-3. (IDD0, puhdas- Ei muutoksia / IDD1, lievä 1–2 osittain tai kokonaan kalkkeutunutta välilevyä / IDD2, keskivaikea 3–4 osittain tai kokonaan kalkkeutunutta välilevyä / IDD3, vaikea 5 tai enemmän osittain tai kokonaan kalkkeutunutta välilevyä
Välilevyrappeuman ja siihen liittyvien halvausoireiden riskiä voidaan arvioida myös CDDY-geenitestillä, joka antaa lisätietoa koiran perinnöllisestä alttiudesta. Geenitestin voi tehdä minkä ikäiselle koiralle tahansa poskisolu- tai verinäytteestä. Ohjeet geenitestien tekoon täältä.
Syyt – perinnöllisyys ja ympäristötekijät
Välilevyrappeumalle on tämän hetken tutkimusten valossa selvä perinnöllinen tausta. UC Davisin yliopiston tutkimusryhmän mukaan geenitestissä tuloksen N/CDDY tai CDDY/CDDY saanut koira on jopa 15 kertaa alttiimpi välilevyjen ennenaikaiselle rappeutumiselle. Lisäksi kantajakoiralla on 50 %:n riski siirtää tämä geenimuunnos jälkeläisilleen.
Oireet
Tyypillisiä oireita ovat:
- selän kosketusherkkyys
- haluttomuus hypätä
- vaikeus kulkea portaita
- vakavimmillaan halvausoireet
Hoito ja ennaltaehkäisy
Kalkkeutuneiden välilevyjen ehkäisy jalostuksessa perustuu ensisijaisesti perinnöllisten riskitekijöiden tunnistamiseen ja välttämiseen. CDDY-geenitesti auttaa tunnistamaan koirat, joilla on kohonnut riski selkärangan välilevyjen ennenaikaiseen rappeutumiseen. Jalostukseen tulisi ensisijaisesti valita koiria, joilla ei ole CDDY-geeniä, tai vähintään varmistaa, että kahdella kantajalla ei teetetä pentuja yhdessä, sillä tällöin riski periyttää sairauden alttius suurenee merkittävästi. Lisäksi viralliset röntgentutkimukset (IDD-lausunto) 24-42 kuukauden iässä antavat lisätietoa yksilön selkärangan kunnosta. Yhdistämällä geenitestit ja kuvaustulokset voidaan vähentää riskiä sairastumis alttiiden yksilöiden syntymiseen ja edistää rodun pitkäaikaista selkäterveyttä.
Jos koiralla on todettu kalkkeumaa välilevyissä tai suurentunut geneettinen riski kalkkeumille, voidaan oireiden ilmenemistä yrittää ennaltaehkäistä pitämällä koira hoikkana, hyvässä lihaskunnossa ja välttämällä hyppimistä sekä vahvistamalla selkärankaa tukevia pieniä lihaksia.
Hoitona lievissä tapauksissa käytetään totaalista lepoa ja kipulääkitystä, kun taas vaikeissa tapauksissa voidaan yrittää kirurgista hoitoa. Tällaisissakin leikkauksissa jälkihoito on aikaa vievää ja sen merkitys on hyvin suuri koiran toipumisen kannalta. Leikkaushoitoon vaaditaan aina myös magneettikuvaus.
Välimuotoinen lanneristinikama (LTV)
Välimuotoisella lanneristinikamalla (LTV, lumbosakraalinen transitional vertebra) tarkoitetaan synnynnäistä ja perinnöllistä nikamaepämuodostumaa. Muodostumassa viimeinen lannenikama muistuttaa osittain ristinikamaa tai päinvastoin, eli siinä esiintyy piirteitä molemmista. Muutos voi olla symmetrinen tai epäsymmetrinen. Epäsymmetrisyys näkyy röntgenkuvassa, joka on otettu koiran maatessa selällään.
Tämä rakennepoikkeama voi vaikuttaa selkärangan liikkuvuuteen ja rakenteelliseen vakauteen. Vaikka osa koirista elää oireetta, muutokset voivat myös aiheuttaa kivuliaita oireita tai jopa johtaa liikuntakyvyn menetykseen.
Miten koiran tilanne voidaan todeta?
LTV-lausunnon voi saada virallisesti koira, joka on täyttänyt 12 kuukautta. Lausunto edellyttää rinta- ja lannerangan sivukuvia ja ristiluusta selällään otettua röntgenkuvaa.
LTV-lausuntojen asteikko poikkeaa muista virallisista lausunnoista: tulokset eivät etene paremmasta huonompaan, vaan kukin aste kuvaa erilaista muutostyyppiä ristiluun alueella.
- LTV0 ei muutoksia
- LTV1 Jakautunut ristiluu keskiharjanne (S1-S2)
- LTV2 Symmetrinen välimuotoinen lanne-ristinikama
- LTV3 Epäsymmetrinen lanne-ristinikama
- LTV4 6 tai 8 lanneristinikamaa
Syyt – perinnöllisyys ja ympäristötekijät
LTV on synnynnäinen ja perinnöllinen nikamaepämuodostuma. Tarkkaa periytymismekanismia ei vielä tunneta ja sen esiintyvyys vaihtelee roduittain. LTV:n perinnöllisyys on syy, miksi on syytä huomioida asia jalostustyössä. Ympäristötekijöiden merkitys itse epämuodostuman synnyssä on vähäinen, mutta ne voivat vaikuttaa siihen, miten oireet ilmenevät tai pahenevat.
Oireet
LTV-muutokset voivat:
- olla täysin oireettomia
- aiheuttaa takaselän kipua, jäykkyyttä tai liikuntahaluisuuden vähenemistä
- johtaa takajalkojen heikkouteen tai halvausoireisiin
- joissain tapauksissa johtaa eutanasiaan kivun tai liikuntakyvyttömyyden vuoksi
Hoito ja ennaltaehkäisy
Hoitona lievissä tapauksissa käytetään lepoa ja kipulääkitystä. Vakavammissa tapauksissa leikkaushoito voi olla mahdollista. Leikkauksen jälkeisellä kuntoutuksella on iso merkitys koiran toipumisessa.
Koska kyseessä on perinnöllinen rakennepoikkeama, sen ennaltaehkäisy perustuu jalostusvalintoihin. Virallisten LTV-lausuntojen kerääminen on tärkeää ja jalostuksessa tulisi välttää yhdistelmiä, joissa molemmilla vanhemmilla on todettu LTV-muutos. Vähänkään oireilevaa koiraa ei käytetä jalostukseen.
Spondyloosi (SP)
Spondyloosi on etenevä selkärangan rappeumasairaus, jossa nikamien väleihin muodostuu luupiikkejä ja nikamat voivat luutua yhteen. Tämä luutuminen poistaa selkärangan joustavuutta, ja koirasta voi tulla jäykkäliikkeinen. Nikamien silloittuminen kaventaa nikamavälejä, ja luupiikit voivat painaa hermojuuria, mikä voi aiheuttaa kipua tai halvausoireita.
Sairaus etenee yleensä hitaasti ja alkaa oireilla pääsääntöisesti vasta iäkkäämmällä koiralla. Havannankoirilla spondyloosia on havaittu yksittäistapauksina virallisissa selkäkuvauksissa.
Miten koiran tilanne voidaan todeta?
Spondyloosista voi saada virallisen lausunnon, kun koira on vähintään 24 kuukautta vanha. Lausunto perustuu röntgenkuviin, jotka otetaan sivulta, ja arvostelu tehdään asteikolla SP0–SP4 seuraavasti:
- SP0: Ei havaittavia muutoksia
- SP1–SP4: Eri asteisia muutoksia, perustuen siihen kuinka monessa nikamavälissä silloittumaa esiintyy
Syyt – perinnöllisyys ja ympäristötekijät
Spondyloosin syytä ei tällä hetkellä tiedetä tarkasti. Yksi syy spondyloosiin voi olla nikamien välisiin nivelsiteisiin kohdistunut liian suuri rasitus. Silloittuminen voi olla myös seurausta useasta selkärangan sairaudesta, joita ovat mm. bakteeritulehdus, nikamien yliliikkuvuus ja selkänikamien kehityshäiriö. Myös perimä ja ravinto vaikuttavat huomattavasti spondyloosin kehittymiseen (kalsiumin lisääntyminen lisää spondyloosi-riskiä). Spondyloosia kehittyy usein normaalistikin ikääntymisen myötä. Boksereilla spondyloosin on todettu olevan perinnöllinen ongelma, koska sairautta on todettu jo nuorilla yksilöillä.
Oireet
Oireet ilmenevät yleensä vasta aikuisella tai ikääntyvällä koiralla ja voivat sisältää:
- Jäykkyyttä, kömpelyyttä ja liikkeiden rajoittumista
- Kipua erityisesti selän alueella
- Refleksien heikentymistä ja asentotunnon häiriöitä
- Lihasmassan surkastumista, etenkin takaraajoissa
- Halvausoireita, mikäli hermojuuret joutuvat puristukseen
Jos selkärangan muodostamat luusillat murtuvat, voi koira oireilla äkillisesti.
Hoito ja ennaltaehkäisy
Lieviä oireita voidaan lievittää tulehduskipulääkkeillä, levolla ja kylmähoidolla. Lihashuolto ja kevyet liikuntamuodot voivat tukea selkärangan toimintaa. Vaikeissa tapauksissa tarvitaan pitkäkestoista kivunhallintaa. Vaikeissa tai etenevissä tapauksissa voidaan harkita myös leikkaushoitoa, mutta se on harvinaista ja vaatii yksilöllisen arvion.
- Vältetään liiallista rasitusta kasvuiässä.
- Huolehditaan koiran lihaskunnosta ja painonhallinnasta.
- Vältetään ylimääräistä kalsiumin saantia erityisesti kasvuiässä.
Ennaltaehkäisy perustuu jalostusvalintoihin. Virallisten SP-lausuntojen kerääminen on tärkeää ja jalostuksessa tulisi välttää yhdistelmiä, joissa molemmilla vanhemmilla on todettu SP-muutos. Jos koiralla on merkittäviä spondyloosimuutoksia tai koira lievästikin oireilee, sitä ei käytetä jalostukseen.
Epämuodostuneet nikamat (VA)
Epämuodostuneilla nikamilla tarkoitetaan synnynnäisiä rakenteellisia poikkeavuuksia, kuten erimuotoisia puolinikamia, perhosnikamia sekä välimuotoisia nikamia, joissa selkänikaman kehitys on häiriintynyt. Havannankoirilla yleisimpiä epänormaaleja nikamia ovat viimeisen rinta- ja ensimmäisen lannenikaman välimuotoiset nikamat ja myös viimeinen kaulanikama voi olla välimuotoinen. Lisäksi nähdään puolinikamia, yhteenkasvaneita nikamia (blokkinikamat) ja muuten muodoltaan poikkeavia nikamia.
Epämuodostuneet nikamat voivat aiheuttaa selkärangan vinoutta ja epävakautta, mikä altistaa selkäytimen ja hermojen puristukselle. Tämä voi johtaa kipuun, liikkumisvaikeuksiin ja jopa halvausoireisiin.
Miten koiran tilanne voidaan todeta?
Virallinen lausunto epämuodostuneista nikamista (VA-lausunto) voidaan saada, kun koira on vähintään 12 kuukauden ikäinen. Lausunto perustuu rinta- ja lannerangan sivukuvaukseen sekä kaularangan sivukuvaan ja lantioristiluualueen selällään otettuun kuvaan. Röntgenkuvissa nähdään nikamien rakenne ja mahdolliset kehityshäiriöt, kuten:
- Kiilanikamat, joissa nikaman runko on epäsymmetrinen tai osittain kehittymätön
- Perhosnikamat, joissa nikaman keskellä on poikkeava jakautuminen
Lausunto annetaan sen perusteella, onko nikamissa havaittu selkeitä kehityshäiriöitä ja kuinka ne voivat vaikuttaa koiran hyvinvointiin. Arvostelussa käytetty asteikko:
- VA0, normaali: Ei muutoksia
- VA1, lievä: 1-2 epämuodostunutta nikamaa
- VA2, selkeä: 3-4 epämuodostunutta nikamaa
- VA3, keskivaikea: 5-9 epämuodostunutta nikamaa
- VA4, vaikea: 10 tai useampi epämuodostunutta nikamaa
Syyt – perinnöllisyys
VA-muutokset ovat synnynnäisiä ja perinnöllisiä muutoksia. Nikaman epänormaali kehitys tapahtuu sikiökaudella. Joillakin roduilla periytyminen on tunnistettu selkeästi, havannankoirilla tietoa kerätään vielä. Jalostuksessa on syytä välttää yhdistelmiä, joissa molemmilla vanhemmilla on todettu nikamamuutoksia, vaikka ne eivät olisikaan oireilleet.
Oireet
Epämuodostuneet nikamat voivat olla täysin oireettomia tai aiheuttaa vaihtelevan asteisia ongelmia:
- Selän jäykkyys ja arkuus
- Epätasapainoinen liikkuminen tai horjuminen
- Halvausoireet takaraajoissa
- Kivuliaat pinneoireet, jotka voivat pahentua ajan myötä
Hoito ja ennaltaehkäisy
Lievissä tapauksissa oireita voidaan hallita levolla, tulehduskipulääkityksellä ja fysioterapialla. Vaikeissa tai etenevissä tapauksissa voidaan harkita leikkaushoitoa, mutta se on harvinaista ja vaatii yksilöllisen arvion.
Ennaltaehkäisy perustuu jalostusvalintoihin. Virallisten VA-lausuntojen kerääminen on tärkeää ja jalostuksessa tulisi välttää yhdistelmiä, joissa molemmilla vanhemmilla on todettu VA-muutos. Jos koira lievästikin oireilee, sitä ei käytetä jalostukseen.
Lähteet:
https://havannalaiset.com/pentueen-suunnittelu/geenitutkimus/
https://vgl.ucdavis.edu/test/cddy-cdpa
https://www.suomenranskanbulldogit.fi/terveys-ja-sairaudet/
https://www.preprints.org/manuscript/202505.0440/v1
Epilepsia, eli kaatumatauti, aiheuttaa kohtauksia aivojen sähköisen toiminnan häiriöiden seurauksena. Kohtausten voimakkuus voi vaihdella suuresti koirakohtaisesti. Epilepsiaa on kahdenlaista: hankittua ja idiopaattista. Havannankoirilla epilepsiaa on raportoitu vähäisessä määrin.
Syyt – perinnöllisyys ja ympäristötekijät
Hankitussa epilepsiassa kohtaukset johtuvat traumasta, joka on vaurioittanut aivoja. Esimerkiksi koira on voinut jäädä auton alle tai lyödä päänsä, ja alkaa myöhemmin saada kohtauksia. Idiopaattisesta epilepsiasta käytetään myös nimityksiä synnynnäinen, itsesyntyinen, peritty tai primaarinen epilepsia. Nämä kaikki tarkoittavat aivojen sisäistä, tuntematonta syytä kohtauksille.
Epilepsiasta puhutaan myös sekundaarisena, jolloin kohtaukset johtuvat aivojen sisäisestä syystä (esim. kasvain), ja reaktiivisena, jolloin kohtaukset johtuvat aivojen ulkopuolisesta syystä (esim. aineenvaihdunnan häiriöt tai myrkytys).
Joihinkin epilepsian muotoihin on löydetty geenitausta, esim. Suomenpystykorvien Laforan tauti, johon on olemassa geenitesti, sekä Lagotto Romagnolojen pentuiän hyvälaatuinen epilepsia. Kyseinen epilepsia on kuitenkin harvinainen ja tavattu vain tässä rodussa. Belgianpaimenkoirilla on tunnistettu epilepsialle riskiä lisäävä muoto geenistä ADAM23.
Monissa roduissa epilepsian on todettu olevan perinnöllistä. Jalostuksen kannalta yleisenä ohjeena voidaan pitää, että sairasta koiraa ei tule käyttää jalostukseen, eikä yhdistelmää, josta on tullut epilepsiaa, tule uusia. Epileptikkojen täyssisarusten jalostuskäyttöä tulisi harkita erittäin tarkkaan.
Miten koiran tilanne voidaan todeta?
Epilepsia todetaan sulkemalla pois muut sairaudet erilaisten tutkimusten avulla: verinäytteet, röntgenkuvat, ultraäänitutkimukset ja lopulta aivosähkökäyrä (EEG), selkäydinnestenäyte sekä aivojen tietokonetomografia (CT) tai magneettikuvaus. Viimeksi mainitut tutkimukset ovat kalliita, joten käytännössä usein päädytään aloittamaan epilepsialääkitys, jos muita syitä kohtauksille ei löydy. Epilepsiaa epäiltäessä olisi hyvä, jos omistaja saisi videoitua kohtauksen näytettäväksi eläinlääkärille. Myös neurologin konsultoiminen olisi suositeltavaa diagnoosin varmistamiseksi.
Oireet
Idiopaattisesta tai peritystä epilepsiasta kärsivät koirat alkavat yleensä oireilla nuorena, noin 6 kk – 5 v. iässä, mutta perinnöllinen epilepsia voi puhjeta missä iässä tahansa. Lievimmillään oireet voivat olla lyhyitä poissaolokohtauksia, vakavimmillaan toistuvia kouristuskohtauksia, joiden aikana koira menettää tajuntansa ja voi laskea alleen.
Hoito
Epilepsiaa voidaan usein hoitaa lääkityksellä hyvinkin onnistuneesti. Kohtauksia saadaan yleensä harvennettua tai lievennettyä, ja joillakin koirilla ne loppuvat kokonaan. Valitettavasti on myös tapauksia, joissa koira ei vastaa lääkitykseen ja sairaus voi johtaa eutanasiaan.
Epilepsialääkityksiä on monenlaisia, ja ne määräytyvät aina tapauskohtaisesti, jotta lääkkeiden sivuvaikutukset saataisiin pidettyä mahdollisimman pieninä. Epileptisille koirille suositellaan usein myös sterilisaatiota, sillä hormonaaliset muutokset ja stressi voivat lisätä kohtausten riskiä.
Epilepsialääkitys vaikuttaa pitkällä aikavälillä maksan toimintaan. Siksi lääkityksellä olevan koiran hoitoon kuuluvat myös säännölliset verikoekontrollit.
Lähteet:
https://www.kennelliitto.fi/kasvatus-ja-terveys/koiran-terveys/perinnolliset-sairaudet-ja-koiran-hyvinvointi/koiran-epilepsia
https://www.suomenranskanbulldogit.fi/neurologiset-ongelmat/
https://www.koirangeenit.fi/projektit/tutkimusprojektit/neurologiset-sairaudet/epilepsia/
Maitohampaiden irtoamattomuus
Maitohampaiden, erityisesti kulmahampaiden, irtoamattomuus on havannankoirilla melko yleinen ongelma. Ongelman taustalla on todennäköisesti geneettinen alttius, sillä sitä esiintyy useammin tietyntyyppisen kallon omaavilla pienillä roduilla.
Pennun maitohampaat vaihtuvat pysyviin hampaisiin yleensä 6–7 kuukauden ikään mennessä, mutta joillakin yksilöillä tai roduilla vaihtuminen voi kestää pidempään. Omistajan on tärkeää seurata tarkasti pennun suuta tänä aikana, sillä irtoamattomat maitohampaat voivat aiheuttaa merkittäviä ongelmia pysyville hampaille. Ne altistavat esimerkiksi purentavirheille, pysyvän hampaan virheelliselle puhkeamiselle sekä kiinnityskudoksen tulehduksille.
Jos maitohampaat eivät anna merkkejä irtoamisesta (ala heilua/tippua) pysyvien hampaiden kasvaessa, on syytä kääntyä eläinlääkärin puoleen. Irtoamattomat maitohampaat poistetaan eläinlääkärin toimesta nukutuksessa, jotta myös maitohampaan juuret saadaan kokonaisuudessaan pois. Toimenpidettä ei pidä viivyttää, sillä pysyvälle hampaalle voi syntyä pysyviä vaurioita nopeasti.
Maitokulmahampaiden poistojen jälkeen pennun suuhun jää tavallisesti tikit, joiden hoito vaatii huolellista seurantaa. Paranemisen ajan (noin 2 viikkoa) koiralle suositellaan annettavaksi pehmeää ruokaa, ja kovia puruleluja tai luita tulee välttää, jotta tikit eivät aukeaisi. Suun puhdistus eläinlääkärin ohjeiden mukaisesti nopeuttaa paranemista ja ehkäisee tulehduksia.
Jalostuksen näkökulma
Koska maitohampaiden irtoamattomuudella arvioidaan olevan geneettinen tausta, on tärkeää huomioida tämä myös jalostuksessa. Ongelmia toistuvasti aiheuttavia linjoja tulisi välttää, jotta riskiä ei siirretä jälkeläisille.
Lähteet
- https://www.agria.fi/koira/artikkeleita/koiranpentu/irtoamattomat-maitohampaat/
- Nieminen, P. (2019). Koiran suun terveys. Eläinlääkärin käsikirja.
Parodontiitti
Parodontiitti on ikenen ja hampaan kiinnityskudoksen tulehdussairaus, joka etenee yleensä ajan myötä. Sairaus on
erityisen yleinen pienillä roduilla ja koskettaa näin merkittävästi myös havannankoiria. Tutkimusten mukaan vähintään 44 % koirista kärsii elämänsä aikana parodontiitista. Sairauden synty liittyy monitekijäisesti sekä koiran immuunijärjestelmän toimintaan että suun hoitoon. Tulehdus saa alkunsa hampaan pinnalle kertyvästä plakista, mutta parodontiitin etenemistä selittää usein poikkeava immuunireaktio tavalliseen ientulehdukseen. Myös perinnöllisellä alttiudella on osuutensa.
Miten tilanne voidaan todeta?
Parodontiitti voidaan varmuudella todeta vain hammasröntgenkuvauksessa. Tulehdus johtaa hampaiden kiinnityskudoksen heikentymiseen ja lopulta katoon, mikä saa hampaat löystymään. Pitkälle edennyt sairaus voi vaurioittaa myös leukaluuta. Suun tulehdukset kuormittavat lisäksi koko elimistöä, sillä ne voivat altistaa sisäelinten tulehduksille ja heikentää koiran vastustuskykyä.
Oireet
Parodontiitin oireet voivat olla alkuvaiheessa vähäisiä. Tyypillisiä merkkejä ovat:
- pahanhajuinen hengitys
- punottavat ja vuotavat ikenet
- kivuliaisuus suuta käsiteltäessä
- hampaiden heiluminen tai irtoaminen
- haluttomuus syödä kovaa ruokaa
Hoito ja ennaltaehkäisy
Edennyttä parodontiittia ei voida parantaa, vaan tulehtuneet hampaat on poistettava. Toimenpiteen tekee eläinlääkäri nukutuksessa, ja poistotarve arvioidaan hammaskohtaisesti röntgenkuvien avulla.
Ennaltaehkäisyssä tärkeintä on päivittäinen hampaiden harjaus, joka vähentää plakin muodostumista ja ientulehdusta. Myös ruokavaliolla ja säännöllisellä hammaskiven poistolla on merkitystä. Varhainen puuttuminen ientulehdukseen voi ehkäistä taudin etenemistä.
Koska parodontiitilla arvioidaan olevan myös geneettistä taustaa, tulee jalostuksessa suosia koiria, joilla ei ole merkittäviä hammasterveysongelmia. Huolehtimalla hampaiden hoidosta voidaan kuitenkin merkittävästi vähentää ongelmien riskiä myös alttiilla yksilöillä.
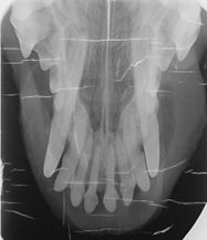
Kapea alaleuka ja alakulmahampaiden virheasento
Havannankoirilla melko yleinen ongelma on liian kapea alaleuka. Tämä voi aiheuttaa sen, että maitokulmahampaat puhkeavat väärään asentoon ja painuvat ylöspäin kitalakeen. Vaikka pysyvät kulmahampaat usein asettuvat lopulta oikeille paikoilleen, monilta havannankoirilta joudutaan poistamaan maitokulmahampaita ennen aikojaan kivun ja vaurioiden ehkäisemiseksi.
Miten tilanne voidaan todeta?
Pennun purennan kehitystä tulee seurata kotona tarkasti hampaiden vaihtumisen aikana, ja eläinlääkärin on hyvä tarkistaa purenta myös rokotuskäyntien yhteydessä. Ongelman voi havaita siitä, että alakulmahampaan kärjet painavat kitalakeen tai yläikenien sisäpuolelle. Joskus ne voivat jopa läpäistä kitalaen kudoksen. Tämä altistaa tulehduksille ja kivuliaille avanteille, jotka voivat avautua nenäonteloon.
Oireet
- Kuopat tai haavaumat kitalaessa
- Kivuliaisuus suuta tutkittaessa
- Pahanhajuinen hengitys tulehduksen seurauksena
- Mahdollinen nenäonteloon avautuva tulehdusfisteli
Hoito ja ennaltaehkäisy
Kapean alaleuan aiheuttamia hampaiden virheasentoja saa hoitaa vain eläinlääkäri. Hoitovaihtoehtoja ovat:
- maitohampaiden poistaminen mahdollisimman varhaisessa vaiheessa
- pysyvien hampaiden oikomishoito (myös ns. pallohoito kotona eläinlääkärin ohjeiden mukaan)
- pysyvien alakulmahampaiden poistaminen tai pulpa-amputaatio, jos asento aiheuttaa kipua ja vaurioita
Kapea alaleuka on selvästi perinnöllinen rakenneongelma. Jalostukseen tulisi käyttää vain koiria, joilla alakulmahampaat asettuvat tilavasti oikeille paikoilleen ja joiden etuhampaat mahtuvat kulmahampaiden väliin suorassa rivissä. Vaikka purenta sinänsä olisi oikea, ei ole suositeltavaa yhdistää jalostuksessa kahta koiraa, joiden etuhammasrivistö muodostaa U- tai V-kirjaimen, sillä tällöin riski liian kapean alaleuan periytymiselle kasvaa.
Purentaviat
Havannankoirilla esiintyy kohtalaisesti erilaisia purentavikoja. Yleisimpiä ovat yläpurenta, alapurenta ja vinopurenta. Purentaviat ovat ensisijaisesti perinnöllisiä, mutta niitä voivat pahentaa myös esimerkiksi maitokulmahampaiden porautuminen kitalakeen. Tämä voi estää leukaluiden normaalin kasvun ja ns. lukita leuat, mikä puolestaan aiheuttaa tai pahentaa purentavikaa.
Lievä purentavika ei useinkaan vaadi hoitotoimenpiteitä, mutta vakavammissa tapauksissa voidaan joutua poistamaan useita pysyviä hampaita. Vakavat purentaviat voivat aiheuttaa myös lihasjännitystä ja särkyä purentalihasten virheellisen kuormituksen seurauksena.
Purentavian asteesta riippumatta koiran suu vaatii yleensä normaalia enemmän huolellista hammashuoltoa, sillä hampaat eivät asetu oikein toisiinsa nähden.
Purentavikaisia koiria ei tule käyttää jalostukseen.
Lähteet:
https://www.agria.fi/koira/artikkeleita/koiranpentu/irtoamattomat-maitohampaat/
https://evidensia.fi/hoitovinkit/koiran-maitohammas-ei-irtoa/
https://pyynikinelainlaakarit.fi/ohjeet/koiran-ientulehdus-ja-parodontiitti/
Sapen mukoseele
Koiran maksa tuottaa sappea, joka kulkeutuu sappitiehyeitä pitkin sappirakkoon. Kun koira syö, sappirakko tyhjenee ja sappineste siirtyy ohutsuoleen auttaen ravinnosta saatujen rasvojen pilkkomisessa.
Sapen mukoseelessä sappineste tiivistyy liiaksi tai sappirakkoon kertyy limaa, mikä estää nesteen normaalin liikkumisen. Tämä voi johtaa sappirakon tulehdukseen, tukoksiin ja pahimmillaan sappirakon puhkeamiseen. Puhjennut sappirakko on hengenvaarallinen ja vaatii aina välitöntä leikkaushoitoa. Havannankoirissa mukoseelea on raportoitu joitakin tapauksia.
Miten koiran tilanne voidaan todeta?
Mukoseele diagnosoidaan verikokeiden, ultraäänitutkimuksen sekä kliinisten oireiden perusteella. Pelkät verikokeet harvoin kertovat todellista tilannetta eli ultraäänitutkimus on suositeltavaa aina jos on pienikin epäilys mukoseelestä.
Syyt – perinnöllisyys ja ympäristötekijät
Mukoseelen syntyyn vaikuttavat sekä geneettiset että aineenvaihdunnalliset tekijät. Sitä esiintyy erityisen paljon shetlanninlammaskoirilla, kääpiösnautsereilla ja chihuahuoilla. Periytymismalli ei ole tiedossa. Tauti puhkeaa yleensä iäkkäämmillä koirilla, mutta myös nuoremmat yksilöt voivat sairastua.
Altistavia tekijöitä voivat olla:
- tietyt lääkeaineet (esim. imidaklopridi)
- kilpirauhasen vajaatoiminta
- Cushingin tauti
- kohonneet veren rasva-arvot.
Oireet
Mukoseele voi olla täysin oireeton, mutta oireilevilla koirilla on raportoitu:
- oksentelua
- ruokahaluttomuutta
- väsymystä ja voipuneisuutta
- voimakasta vatsakipua
- lisääntynyttä juomista ja virtsaamista
- limakalvojen keltaisuutta (ikterus).
Hoito ja ennaltaehkäisy
Tieto hoitovaihtoehdoista on vielä rajallista.
- Leikkaus (sappirakon poisto) on tehokkain ja varmin hoitomuoto, mutta siihen liittyy riskejä. Kuolleisuus vaihtelee tutkimuksissa:
- 22–40 % tapauksissa, jos koira on jo vakavasti sairas tai sappirakko on puhjennut,
- vain 2–4 %, jos leikkaus tehdään aikaisessa vaiheessa oireettomalle tai vähäoireiselle koiralle.
- Suomessa eläinlääkäri Tuulikki Laalon tutkimuksessa kuolleisuus oli 6 %.
- Lääkehoito ja seuranta voivat olla vaihtoehto lievemmissä tapauksissa. Hoitoon kuuluu lääkitys, säännölliset ultraäänitutkimukset ja vähärasvainen ruokavalio. Joissakin tapauksissa mukoseele on parantunut tällä tavoin, mutta riski äkillisiin komplikaatioihin, kuten sappitietukoksiin ja puhkeamiseen, säilyy.
Leikatutkin koirat tarvitsevat usein loppuelämän kestävää lääkitystä.
Ennaltaehkäisyyn ei ole varmoja keinoja, mutta yleiskunnosta huolehtiminen (tasapainoinen ruokavalio, sopivasti liikuntaa ja lepoa) sekä koiran ravinnon rasvapitoisuuden tarkkailu ovat tärkeitä.
Koska mukoseelen tarkkaa periytymismallia ei tunneta, varmoja jalostuksellisia linjauksia on vaikea tehdä. Havannankoirissa sairaus näyttää olevan melko harvinainen, mutta yksittäisiä tapauksia on raportoitu. Jalostuksessa tulee kuitenkin aina huomioida sairastuneen koiran sukulinja ja jättää kyseinen koira jalostuskäytön ulkopuolelle.
Lähteet:
https://pyynikinelainlaakarit.fi/ajankohtaista/mika-on-mukoseele/
Kroonistunut suolistotulehdus (IBD/CIE)
Kroonistunut suolistotulehdus (IBD/CIE) on koirilla esiintyvä pitkäaikaissairaus, jonka taustalla voi olla useita erilaisia tekijöitä. Ne kaikki oireilevat kuitenkin hyvin samankaltaisesti, mikä tekee diagnoosista haastavan.
Sairaus voi puhjeta jo pentuiässä, mutta myös vasta aikuis- tai seniorivaiheessa. Oireilu on hyvin monimuotoista, ja sen syyn selvittäminen vaatii usein useamman eläinlääkärikäynnin ja laajat tutkimukset. Yleensä CIE-potilas tarvitsee tarkasti määritellyn ruokavalion sekä tukihoitoa suoliston toiminnan tueksi loppuelämänsä ajan. Pahimmillaan sairaus voi johtaa eutanasiaan. Havannankoirissa IBD/CIE:n esiintyminen näyttää olevan lisääntymässä.
Miten koiran tilanne voidaan todeta?
Diagnoosi perustuu muiden sairauksien poissulkemiseen. Tutkimuksiin kuuluvat:
- veri- ja ulostenäytteet
- ultraäänitutkimus
- ruoansulatuskanavan tähystys.
Syyt – perinnöllisyys ja ympäristötekijät
Tarkkaa syytä ei tunneta. Yksi oletus on, että koiran suolisto on jo pennusta lähtien sellainen, jonka immuunijärjestelmä reagoi epänormaalin voimakkaasti ärsykkeisiin, jotka eivät oikeasti ole elimistölle vaarallisia.
Perimällä näyttää olevan vaikutusta, sillä joissain roduissa IBD/CIE:tä esiintyy enemmän kuin toisissa. Havannankoirilla on raportoitu yksittäisiä ja lisääntyviä tapauksia.
Muita mahdollisesti altistavia tekijöitä ovat:
- loiset
- virus- ja bakteeritartunnat
- ympäristön stressitekijät.
Oireet
Oireet vaihtelevat yksilöittäin ja riippuvat tulehduksen sijainnista ruoansulatuskanavassa. Yleisimpiä oireita ovat:
- ripuli
- oksentelu
- huono ruokahalu
- mahan lorina
- ilmavaivat
- laihtuminen
- luonteen ja käytöksen muutokset (kipuilun ja stressin seurauksena).
Oireilu on yleensä pitkäkestoista (jatkuu vähintään kolme viikkoa), mutta voi esiintyä aaltoilevana: koiralla voi olla oireettomia jaksoja oireiden välillä. Toisilla potilailla ilmenee vain yksi oire, toisilla on laaja kirjo oireita.
Hoito ja ennaltaehkäisy
Sairauden puhkeamista ei käytännössä voida ennaltaehkäistä. Hoito tähtää oireiden hallintaan, ei parantamiseen.
- Ruokavalio: Ensimmäinen askel on eliminaatiodieetti, sillä usein taustalla on ruoka-aineyliherkkyys. Eliminaatiodieetissä koira saa vain määrättyä ruokaa, ja pienikin poikkeama (esim. makupala) voi estää hoitovasteen.
- Lääkitys: Oireista ja tilanteesta riippuen käytetään mm. kortisonia ja antibiootteja.
- Tavoite: Oireiden pitäminen mahdollisimman vähäisinä.
Sairaus ei ole parannettavissa, ja monilla potilailla oireet uusiutuvat ajoittain hoidosta huolimatta.
Koska sairauden puhkeamiseen liittyy todennäköisesti sekä perinnöllisiä että ympäristötekijöitä, jalostukselliset linjaukset ovat haastavia. Havannankoirissa tapauksia on kuitenkin raportoitu yhä enemmän, mikä antaa viitteitä perinnöllisestä alttiudesta.
Sairastuneita yksilöitä ei tule käyttää jalostukseen. Lisäksi on suositeltavaa suhtautua varovaisesti myös läheisten sukulaisten jalostuskäyttöön, kunnes rodun IBD/CIE-tilanteesta saadaan enemmän tutkimus- ja seurantatietoa.
Lähde:
Evidensia – Koiran tulehduksellinen suolistosairaus (IBD)
Porttilaskimon hypoplasia (PVH/MVD) ja maksashuntti
Porttilaskimon hypoplasia (PVH, myös MVD) ja maksashuntti ovat keskenään läheisiä sairauksia, joissa maksan verisuonitus on poikkeava.
PVH:ssa maksan verisuonitus on epänormaali. PVH-koira voi olla täysin oireeton koko ikänsä, ja oireilu on usein lievää. Vakavammissa tapauksissa koira tarvitsee erikoisruokavaliota ja jatkuvaa hoitoa voidakseen elää normaalisti. Alustavien tutkimusten perusteella kahden PVH-koiran yhdistäminen lisää riskiä saada jälkeläinen, jolla on maksashuntti.
Maksashuntti on vakavampi tila, jossa porttilaskimon verenkierto ohittaa maksan eikä puhdistu normaalisti. Porttilaskimo vastaa noin 80 % maksan verenkierrosta, joten poikkeaman seuraukset ovat merkittäviä. Havannankoirissa on raportoitu yksittäisiä tapauksia sekä PVH:sta että maksashuntista.
Miten koiran tilanne voidaan todeta?
- PVH: voidaan tutkia verikokeella testattavilla sappihappotesteillä. Jos arvoissa on selviä poikkeamia, tehdään maksan ja sapen ultraäänitutkimus. Lopullinen diagnoosi varmistetaan maksasta otettavilla koepaloilla.
- Maksashuntti: alkututkimukset ovat samankaltaisia, mutta voimakkaat shunttisuonet voidaan havaita kokeneen eläinlääkärin tekemässä ultraäänitutkimuksessa. Luotettavin tutkimusmenetelmä on kuitenkin CT-kuvaus.
Syyt – perinnöllisyys ja ympäristötekijät
Molemmilla sairauksilla näyttäisi olevan perinnöllinen tausta, mutta tarkkaa periytymismallia ei tunneta.
Maksashuntti voi olla myös hankittu, jolloin se johtuu maksan kroonisesta ja vakavasta sairaudesta. Tällöin porttilaskimon verenpainetila (hypertensio) aiheuttaa verisuonten uudelleenjärjestäytymisen. Hankittuja shuntteja ei voida hoitaa kirurgisesti.
Oireet
- PVH: useimmiten oireeton tai lievät oireet, kuten
- herkkyys lääkeaineille
- ajoittainen ruokahaluttomuus
- pahoinvointi ja lievät suolisto-oireet.
- Maksashuntti: oireet ovat yleensä vakavampia ja ilmenevät usein alle 2-vuotiaana:
- ruokailun jälkeen ilmenevät neurologiset oireet (esim. epileptistyyppiset kohtaukset, väsymys, hoipertelu)
- uraattikiteet ja -kivet virtsassa korkean ammoniakkipitoisuuden vuoksi
- ruokahaluttomuus, oksentelu
- hidastunut kasvu ja laihtuminen
- lisääntynyt juominen ja virtsaaminen.
Shunttipotilailla veriarvoissa näkyy tyypillisesti kohonneet sappihapot ja ammoniakki sekä lievästi–kohtalaisesti koholla olevat maksaentsyymit.
Hoito ja ennaltaehkäisy
- PVH: oireettomille ei yleensä tarvita hoitoa. Oireilevilla yksilöillä hoitona käytetään tiukkaa ruokavaliota ja tarvittaessa lääkkeellistä tukihoitoa.
- Maksashuntti: hoito riippuu sairauden vakavuudesta.
- Lievissä tapauksissa voidaan selvitä ruokavalion muutoksella ja maksan tukihoidolla.
- Vaikeissa tapauksissa leikkaushoito on tarpeen. Erityisesti nuorilla potilailla leikkauksen ennuste on hyvä, ja sen avulla voidaan saavuttaa normaali elämä.
- Ruokavaliossa suositellaan maksalle ystävällistä ja rajoitettua proteiinia. Tukilääkitystä voidaan käyttää tarpeen mukaan.
Koska molemmilla sairauksilla on vahva epäilty perinnöllinen tausta, sairastuneita koiria ei tule käyttää jalostukseen.
Myös sairastuneiden yksilöiden läheisten sukulaisten jalostuskäyttöön on syytä suhtautua varoen, kunnes rodun tilanteesta saadaan lisää tutkimus- ja seurantatietoa.
Lähteet:
https://pyynikinelainlaakarit.fi/ajankohtaista/maksashuntti-eli-portosysteeminen-shuntti/
https://havannalaiset.com/pentueen-suunnittelu/ilmoitetut-terveys-ja-kaytosongelmat/
Allergiat ja atopia
Allergialla tarkoitetaan koiran immuunijärjestelmän yliherkkää reaktiota normaalisti harmittomiin ympäristötekijöihin, kuten siitepölyyn, pölypunkkeihin tai ruoka-aineisiin. Terveen koiran elimistö sietää tällaisia allergeeneja, mutta allergisella koiralla puolustusjärjestelmä tulkitsee ne uhkaksi ja käynnistää tulehdusreaktion. Atopia on perinnöllinen taipumus tällaisiin yliherkkyysreaktioihin. Geneettisestä monimuotoisuudesta huolehtiminen on ensisijaisen tärkeää allergioiden ja atopian vastustamisessa. Kennelliiton sivuilla Katariina Mäki toteaa kirjoituksessaan mm. seuraavaa: ” Monimuotoisuus on tärkeää myös immuunijärjestelmässä, jonka geenikirjon kapeneminen voi johtaa esimerkiksi tulehdussairauksiin, autoimmuunitauteihin ja allergioihin. Jalostus ja perinnöllinen edistyminenkin ovat mahdollisia vain, jos koirien välillä on perinnöllistä vaihtelua.”
Miten allergia todetaan?
Allergiaa tai atopiaa aletaan yleensä epäillä, jos koiralla esiintyy toistuvia iho-, korva- tai tassutulehduksia sekä pitkäaikaista kutinaa. Ennen allergiadiagnoosia on tärkeää sulkea pois muut kutinan syyt, kuten sisä- ja ulkoloiset tai kilpirauhasen vajaatoiminta.
Mahdollisia tutkimusmenetelmiä ovat:
- Ihotestit (intradermal testaus)
- Verikokeet (allergiavasta-aineiden mittaus)
- Eliminaatiodieetti, jossa koiran ruokavaliosta poistetaan kaikki epäillyt allergeenit ja sen jälkeen testataan yksitellen eri raaka-aineita
Syyt – perinnöllisyys ja ympäristötekijät
Atopia ja allergiat ovat voimakkaasti periytyviä, mutta sairauden puhkeamiseen vaikuttavat myös ympäristötekijät, kuten stressi, ruokavalio ja elinolosuhteet. Havannankoirilla on havaittavissa taipumusta allergioihin, ja niiden esiintyvyys vaikuttaa olevan lisääntymässä.
Oireet
Allergian tyypillisiä oireita ovat:
- jatkuva kutina
- ihon punoitus, hilseily tai tulehdus
- tassujen nuoleminen ja kaluaminen
- toistuvat korvatulehdukset
- hiivatulehdukset iholla tai korvissa
- sidekalvontulehdukset (silmissä)
- pitkäkestoinen ripuli tai imeytymishäiriöt
Tavallisimpia allergian aiheuttajia ovat siitepöly, pöly- ja hilsepunkit, home- ja sieni-itiöt, eläinhilse sekä tietyt ruoka-aineet.
Hoito ja ennaltaehkäisy
Allergioita ei voida parantaa pysyvästi, mutta oireita voidaan hallita useilla eri keinoilla:
- Ruokavalio: erikoisruoat ja eliminaatiodieetti
- Lääkehoidot: mm. kortisoni, Apoquel ja antibiootit tulehduksiin
- Paikallishoidot: lääkeshampoot, voiteet ja säännöllinen ihon hoito
- Siedätyshoito: allergeenipohjainen immunoterapia, jolla voidaan vähentää oireita pitkällä aikavälillä
Atopia ja vaikea-asteiset allergiat voivat olla koiralle erittäin kuormittavia sairauksia, ja pahimmillaan ne voivat johtaa elämänlaadun merkittävään heikkenemiseen ja jopa eutanasiaan.
Koska atopia ja allergiat ovat voimakkaasti periytyviä, allergiaoireista kärsiviä koiria ei tule käyttää jalostukseen. On tärkeää, että kasvattajat ja omistajat jakavat avoimesti tietoa allergiatapauksista esimerkiksi jalostustietojärjestelmään ja rotujärjestön terveystietolistoille. Näin voidaan vähentää perinnöllistä riskiä ja tukea rodun pitkäaikaista terveyttä.
Lähteet:
https://www.suomenranskanbulldogit.fi/terveys-ja-sairaudet/
Kilpirauhasen vajaatoiminta
Kilpirauhasen vajaatoiminta (hypotyreoosi) on koirilla melko yleinen aineenvaihduntasairaus, jossa kilpirauhanen ei tuota riittävästi hormoneja. Taustalla on useimmiten immuunijärjestelmän aiheuttama kilpirauhasen tulehdusreaktio (autoimmuunityreoidiitti). Sairaus on yleisempi keskikokoisilla ja suurilla roduilla, mutta sitä esiintyy myös havannankoirilla. Harvinaisempaa koirilla on kilpirauhasen liikatoiminta (hypertyreoosi).
Miten se todetaan?
Kilpirauhasen vajaatoiminta diagnosoidaan eläinlääkärissä verikokeen avulla, jossa mitataan mm. T4- ja TSH-arvoja. Epäily sairaudesta herää usein koiran oireilun perusteella, minkä jälkeen laboratoriotutkimus vahvistaa diagnoosin.
Syyt – perinnöllisyys ja ympäristötekijät
Kilpirauhasen vajaatoiminta on perinnöllinen ongelma, mutta sen tarkkaa periytymismallia ei tunneta. Ympäristötekijät, kuten stressi tai infektiot, voivat vaikuttaa sairauden puhkeamiseen, mutta perimä on merkittävin altistava tekijä.
Oireet
Tyypillisiä kilpirauhasen vajaatoiminnan oireita ovat:
- selittämätön painonnousu
- väsymys ja haluttomuus liikkua
- turkin oheneminen tai karvanlähtö
- kuiva ja hilseilevä iho
- tummat pigmenttiläiskät iholla
- joillakin koirilla myös lisääntymisongelmat
Oireet voivat ilmaantua vähitellen ja ne saatetaan helposti sekoittaa ikääntymisen vaikutuksiin.
Hoito ja ennaltaehkäisy
Kilpirauhasen vajaatoimintaa ei voida ehkäistä, mutta sitä voidaan hoitaa tehokkaasti elinikäisellä lääkityksellä. Hoitona käytetään synteettistä kilpirauhashormonia (levotyroksiini), joka korvaa puuttuvan hormonin. Lääkityksen tehoa seurataan säännöllisillä verikokeilla, jotta annostus pysyy oikeana. Oikein hoidettuna ennuste on hyvä ja koira voi elää normaalia elämää.
Koska sairaus on perinnöllinen, kilpirauhasen vajaatoiminnasta kärsiviä koiria ei tule käyttää jalostukseen. On tärkeää, että kasvattajat/omistajat ilmoittavat sairastapauksista rotujärjestölle ja terveystietolistoille, jotta jalostuspäätöksissä voidaan huomioida perinnöllinen riski ja vähentää sairauden esiintyvyyttä rodussa.
Lähteet:
https://www.suomenranskanbulldogit.fi/terveys-ja-sairaudet/
Sebaceous Adenitis (SA-tauti)
SA-taudissa koiran talirauhasten normaali toiminta häiriintyy tai lakkaa kokonaan, ja pahimmillaan talirauhaset tuhoutuvat. Muutosten taustalla voi olla useita syitä immunologisista tekijöistä aina epänormaaliin rasva-aineenvaihduntaan. Sairauden muodot ja vakavuus vaihtelevat lievistä iho-oireista aina vaikeisiin tapauksiin, jotka joillakin roduilla voivat johtaa eutanasiaan. Havannankoirilla ei kuitenkaan tunneta yhtään eutanasiaan johtanutta tapausta. Oireet alkavat tyypillisesti nuorilla tai keski-ikäisillä koirilla.
Miten se todetaan?
SA-taudin diagnosointi edellyttää eläinlääkärin ottamia koepaloja useammasta iho alueesta. Näytteet on otettava
oireilevista alueilta ja riittävän syvältä, jotta mukaan saadaan karvatupen pohja. Sairaus ei näy esimerkiksi raaputusnäytteistä.
Syyt – perinnöllisyys ja ympäristötekijät
SA-tauti on perinnöllinen sairaus, jota esiintyy myös havannankoirilla, mutta sen periytymismalli ei ole tiedossa. Ympäristötekijöistä esimerkiksi stressi voi toimia sairauden laukaisevana tekijänä.
Oireet
Tyypillisiä oireita ovat:
- turkin karheutuminen ja ohentuminen, etenkin selän päältä, hännästä sekä pään ja ohimoiden alueelta
- turkin ”jakautuminen” selän päällä
- ihon paksuuntuminen, kuivuminen ja sekundääritulehdukset
- ajoittain aaltoileva oireilu, joka voi helpottaa ja pahentua hoitojen myötä
Villakoirilla tauti voi esiintyä myös piilevänä. Havannankoirilla oireet voivat ulottua ihon lisäksi korviin ja silmäluomiin:
- korvissa voi näkyä kuivaa, ei-tulehduksellista karstaa korvakäytävissä
- silmäluomissa talirauhasten tukkeutuminen voi aiheuttaa runsasta silmävuotoa
SA-tauti ei yleensä aiheuta kutinaa, ellei iho pääse kuivumaan liikaa.
Hoito ja ennaltaehkäisy
SA-tautia ei voida parantaa, mutta oireita voidaan hallita erilaisin hoitokeinoin. Hoito on aina tukihoitoa, koska talirauhasten surkastumista ei voida pysäyttää. Yleisiä hoitomuotoja ovat:
- lääkeshampoilla tehtävät säännölliset pesut
- ihon öljyäminen ulkoisesti
- lääkehoito (esim. syklosporiini)
- omega-3- ja omega-6-rasvahappolisät suun kautta
Hoitoja jatketaan yleensä läpi koiran elämän, ja varsinaisen SA-taudin hoidon lisäksi tarvitaan usein hoitoa myös ajoittaisiin ihon sekundääritulehduksiin.
SA-tauti on selvästi perinnöllinen sairaus, vaikka tarkkaa periytymismallia ei tunneta. Sairasta koiraa ei tule käyttää jalostukseen. Jalostusyhdistelmissä tulisi pyrkiä minimoimaan riskit siten, että jalostuksessa vältetään yhdistelmiä, joiden suvuissa on esiintynyt SA-sairas koira.
Lähteet:
https://koirakissaklinikka.fi/koira-artikkelit/ihon-talirauhastulehdus-ja-surkastuma-koiralla
keskustelut eläinlääkäreiden ja sairastuneiden koirien omistajien kanssa
Immuunivälitteinen hemolyyttinen anemia (IMHA)
IMHA on yksi yleisimmistä koirien anemiaa aiheuttavista sairauksista. Kyseessä on autoimmuunisairaus, jossa elimistön immuunipuolustus alkaa tuhota omia punasolujaan. Tämä johtaa veren hapenkuljetuskyvyn heikkenemiseen ja voi pahimmillaan aiheuttaa hengenvaarallisen tilanteen. Havannankoirilla IMHA:aa on todettu yksittäisiä tapauksia.
Miten koiran tilanne voidaan todeta?
IMHA diagnosoidaan kliinisten oireiden, verinäytteiden ja virtsanäytteiden perusteella. Tyypillisiä merkkejä ovat:
- nopeasti ilmestyvät mustelmat iholla
- tumma virtsa
- kalpeat tai kellertävät limakalvot
- apaattisuus ja heikkous
- hapenpuutteen aiheuttamat oireet (hengitysvaikeudet, nopea väsyminen)
Syyt – perinnöllisyys ja ympäristötekijät
IMHA voi olla:
- idiopaattinen – ilman tunnistettavaa syytä,
- sekundäärinen – laukaisevana tekijänä voi olla esimerkiksi tulehdus, kasvainsairaus, rokotus tai lääkitys.
Sairaus on yleisempi keski-ikäisillä, leikatuilla nartuilla. Joissakin roduissa IMHAa esiintyy enemmän, mikä viittaa mahdollisiin geneettisiin alttiustekijöihin. Havannankoirilla on raportoitu, että myös stressi voi toimia yhtenä laukaisevana tekijänä.
Oireet
IMHAan sairastunut koira voi oireilla seuraavasti:
- väsymys, heikkous, haluttomuus liikkua
- kalpeat tai kellertävät ikenet, heikko kapillaaritäyttö
- oksentelu ja ripuli
- lisääntynyt juominen ja virtsaaminen
- tummunut virtsa
Hoito ja ennaltaehkäisy
IMHA on aina vakava ja ennuste on varauksellinen. Kuolleisuusriski on suurin hoidon alkuvaiheessa. Hoitoon voi sisältyä:
- verensiirtoja
- immunosuppressiivisia lääkkeitä (esim. kortisoni)
- veren hyytymistä estävää lääkitystä
- mahdollisten laukaisseiden tekijöiden poistaminen
Hoito kestää tyypillisesti 3–6 kuukautta ja saattaa vaatia aluksi tehohoitoa eläinsairaalassa. IMHA voi uusiutua, vaikka alkuvaiheen hoito olisi onnistunut.
IMHA:n tarkkaa periytymismallia ei tunneta, mutta sairauden perinnöllinen alttius on mahdollinen. Sairasta koiraa ei tule käyttää jalostukseen. Koska tapauksia on havaittu myös havannankoirilla, jalostuksessa tulisi välttää yhdistelmiä, joissa suvussa on esiintynyt immuunivälitteisiä sairauksia.
“Russelipomppu”
Havannankoirissakin on tavattu yksilöitä, jotka pompottelevat toista takajalkaansa ilman selvää syytä. Laajojen tutkimusten ja eläinlääkärin tekemän ontumatutkimuksen jälkeen diagnoosiksi annetaan usein idiopaattinen pompottelu, jota kutsutaan arkikielessä nimellä “russelipomppu”.
Syyt – perinnöllisyys ja ympäristötekijät
Tarkkaa syytä epänormaalille liikkumistavalle ei tunneta, eikä sen periytymismallista ole vielä tietoa.
- Joidenkin ortopedien mukaan taustalla on oltava perinnöllisiä tekijöitä, sillä ongelmaa esiintyy tietyissä kääpiöroduissa tavallista enemmän.
- Yhden hypoteesin mukaan kyse voisi olla iskiashermon epänormaalista sijoittumisesta suhteessa lantion tai lonkan luurakenteeseen.
- Ulkomailla tehtyjen lonkkanivelen tähystystutkimusten pohjalta kyse voisi olla lonkkanivelen ongelmissa (muutoksia nivelkapselissa ja/tai isossa ligamentissa)
- Ulkomailla tehtyjen live CT-kuvausten pohjalta kyse voi olla myös poikkemista polvinivelen toiminnassa (polvilumpio pyrkii nousemaan pois telaurasta kuitenkaan luksoitumatta ja koira pompauttaa ns. ennaltaehkäisevästi)
Miten koiran tilanne voidaan todeta?
Diagnoosi tehdään laajassa ontumatutkimuksessa, jossa suljetaan pois:
- kintereiden, polvien, lonkkien ja selän poikkeamat (palpaatio ja röntgenkuvaus)
- kivun vaikutus (usein kokeillaan noin kahden viikon kipulääkitys, jolla selvitetään vähentääkö se oireilua).
Pompotteleva koira tulee aina tutkituttaa osaavalla lääkärillä/ortopedilla!
Oireet
Koira pompottelee yleensä toista takajalkaansa eli jättää välillä askeleen väliin. Oireilu alkaa yleensä nuorella iällä. Pompottelu on erilaista, kuin esimerkiksi patella luksaation aiheuttama pompottelu. Esimerkkivideon pompottelusta voit katsoa täältä.
Videon yhdistykselle on koostanut Jenna Arvola.
Hoito
Koska ongelman tarkkaa syytä ei tunneta, leikkaushoito ei ole mahdollinen. Ennusteesta ei ole selkeää kuvaa.
- Hoito keskittyy koiran hyvinvoinnin ylläpitoon.
- Suositeltavia hoitomuotoja ovat säännöllinen fysioterapia ja/tai hieronta.
Teorioita on useita, ratkaisuja vielä vähän. Yleensä pompottelevien koirien hoidossa fysioterapeutti näyttelee isoa roolia ja joillakin kipulääkkeistä saatetaan saada hyvä hoitovaste.
Lähteet
- Ell, ortopedi Hanna-Leena Terhonen, Ortopet Oy
- Jack Russell -terrierit ry
